Case Studies Details
Tooth decay n inability to smile
The Consultation
- Age : 13
- Gender : Female
Symptoms
Tooth decay n inability to smile
Tests Performed
Digital X-rays n vitality test
Diagnosis
- Rampant caries
- Chronic pulpitis
Treatment
Root canal treatment with post n all ceramic crowns – IPS- Emax. Smile designing or smile makeovers
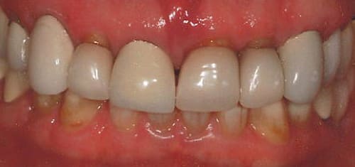
Detailed Description of the case/treatment done
Patient reported to us with tooth decay in the upper 2 central incisors n 2 lateral incisors. We at K-Smile Dental Care, the best dental clinic in Kodambakkam, Chennai performed following treatment. During Xray, the decay involving to root canals were identified n so root canal treatment was performed. After excavation of caries, the remaining tooth structure was not sufficient enough to support the crown, so after RCT, post space preparation was done n fiber-reinforced post was glutted with Ivoclare multi-core flow cement and core build-up was done with Ivoclare composite material. Then the crown preparation was done n send to the lab for all-ceramic crown ( IPS- Emax) fabrication. The crown was checked for smile line, gingival zenith, and gold proportion rule was followed to restore the crown. Finally, shade matching n occlusion was checked n glutted with Ivoclar Multilink speed dual-cure resin cement.
Post-treatment Guidelines
Avoid coloured food for 24 hrs. Avoid biting hard food in the restored crown region.
Photos
