Many people in Kodambakkam are unaware of the malocclusion, but many have this condition. You might be one of them as well. In this article, K- Smile Dental care best dental clinic in Kodambakkam, Chennai are going to discuss malocclusion and how it affects your oral health.
What is Malocclusion?
Malocclusion is a misalignment problem that can contribute to serious oral health issues. It has many other names, including:
- Crowded teeth
- Crossbite
- Overbite
- Underbite
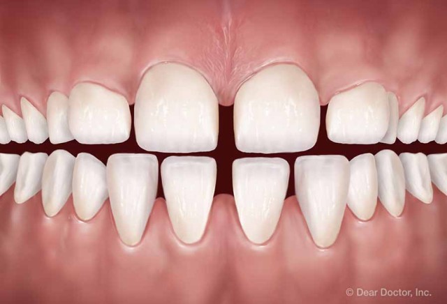
- Open bite
Here is an overview of this condition.
Occlusion is a term used for your teeth’s alignment. Generally, your teeth should fit easily within your mouth, with no crowding or spacing problems. Further, none of your teeth should look twisted or rotated. Your upper jaw’s teeth should slightly overlap your lower jaw’s teeth.
This allows your molar’s pointed ridges to fit into your opposite molar’s groves. If your teeth are not in such normal occlusion, they fall under malocclusion.
The teeth’s proper alignment is critical. Your upper teeth alignment protects your cheeks and lips from being bitten, and your lower teeth’ alignment prevents your tongue from being bitten.
Now that you know what malocclusion is let us learn why it happens.
Causes of Malocclusion
Generally, malocclusion is an inherited condition. Dr Bhuvaneshwari, best dentist in kodambakkam, Chennai suggests few situations may change your jaw’s shape and structure:
- Palate and cleft lip
- Long bottle-feeding in infancy
- Thumb sucking in your early childhood
- Injuries that cause the misalignment of the jaw
- Tumours in your mouth or jaw
- abnormally shaped teeth or Impacted teeth
- Poor dental care that causes inadequate fitting dental fillings
- Allergies or tonsils causing airway obstruction
Now that the causes of malocclusion are clear let us understand the symptoms.
Symptoms of Malocclusion
Symptoms depend on your malocclusion’s classification; they may look mild or severe. Usual symptoms include:
- Your teeth’s improper alignment
- Change in your face’s appearance
- Discomfort when you bite or chew
- Frequent biting happens in the inner cheeks or tongue
- Speech issues, such as the development of a lisp
- Breathing with your mouth instead of your nose
The symptoms of malocclusion depending on the classification of the condition. So, let us understand the classification of the malocclusion.
Classifications of Malocclusions
Malocclusion’s diagnoses occur through routine dental checks. Your dentist in Kodambakkam checks and examines your teeth and does dental X-rays to find if you have a proper teeth alignment. If your dentist finds that you have malocclusion, they will classify it with its form and severity.
Here are three main classes of malocclusion:
Class 1

When the upper teeth overlap with the lower teeth, this is a class 1 malocclusion. In this kind, your bite remains normal, and the overlap looks slight. Class 1 malocclusion is commonly found malocclusion in people of Kodambakkam.
Class 2

When you have a severe overbite, it is a class 2 malocclusion. It is called retrognathism as well. It means that your upper teeth and jaw significantly overlap your lower jaw and teeth.
Class 3

When you have a severe underbite, it is a class 3 condition. It is also called prognathism. When the lower jaw protrudes forward, making your lower teeth to overlap your upper teeth and jaw.
Now that you know the different classifications of malocclusion let us understand how it is treated.
How is Malocclusion of the Teeth Treated?
When you get mild malocclusion, you do not need any treatment. However, most dental clinic in Kodambakkam offer treatment through an orthodontist, if you have a severe malocclusion condition.
Your orthodontist will suggest different treatments based on the form of your malocclusion; these are:
- Correcting teeth position with braces
- Teeth removal to repair overcrowding
- Bonding, capping, or reshaping of teeth
- Surgery to reshape or shorten the jaw
Malocclusion’s treatments can sometimes bring complications like:
- Pain or discomfort
- Tooth decay
- Mouth irritation because of braces
- Speaking or chewing difficulty when undergoing treatment
If you get hereditary malocclusion, stopping it may be difficult. If you are a parent, decrease the use of bottle feeders for your children, this may help with proper jaw growth.
Early malocclusion detection can help you cut down the length and seriousness of your surgery. If malocclusion has affected your child, surgery in childhood will significantly bring down the time and treatment cost.
Although adults can also have good results with the treatment, it can normally take longer and is expensive. The earlier you start your malocclusion treatment, the better your results. So, visit your dental clinic in Kodambakkam and understand your condition.